

Better measurements, better medicines
Biological drugs have transformed medicine, offering limitless potential to engineer complex drug functions that complex diseases with cell, gene, and protein therapies. But the rapid pace of innovation in design has outstripped advancements in functional testing within human tissue models, leaving the opportunity largely untapped. Closing this gap requires precise preclinical models that predict human outcomes, and pairing these models with high-throughput measurements to test for complex tissue functions earlier in the drug discovery process. These advancements will accelerate the discovery and development of the next generation of transformative biological medicines.
What is the Solution?
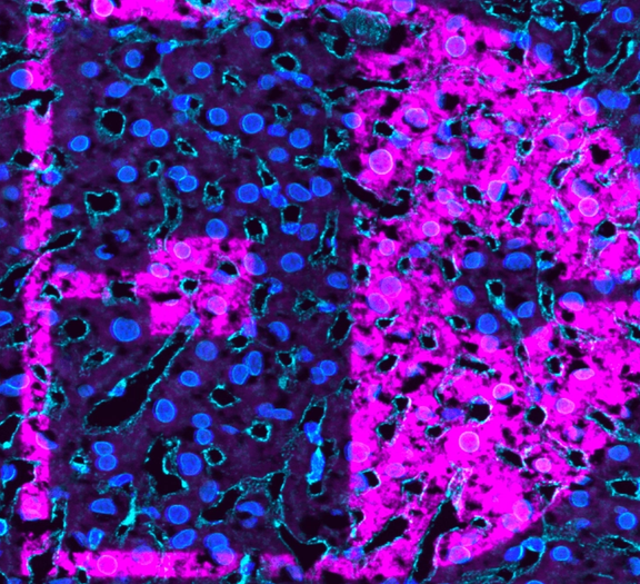
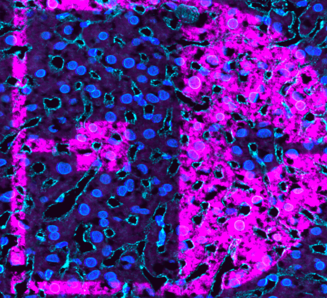
Digital Biology has built a data engine to design and precisely screen biological drugs for translational functions, at scale. The company’s platform combines a new spatial sequencing technology with AI-lab automation and robust infrastructure to extract deeper molecular insights from patient tumors and preclinical models.
The platform repurposes photolithography—used in silicon chip manufacturing—to print DNA “GPS-tags” on biological molecules with sub-cellular precision, enabling accurate tracking of RNA within cells and correlating molecular states with tissue functions. By uniquely connecting molecular sequencing to tissue imaging at scale, Digital Biology’s platform delivers scalable molecular insights from human tumor biopsies to guide the development of predictive preclinical models, and accelerates functional screening of biological drugs for rapid iterations toward translational success.
What EQT Foundation loves about Digital Bio
Digital Biology is revolutionizing how we develop medicines by bridging the gap between innovation and precision. Their platform combines cutting-edge sequencing technology with AI-powered automation to deliver insights that were once out of reach. We love how they’re repurposing photolithography—technology used to build silicon chips—to track RNA with sub-cellular precision, turning patient tumors into maps for better drug development. Digital Biology isn’t just accelerating the discovery of biological medicines; they’re creating a future where every measurement brings us closer to more effective, life-saving treatments. It’s innovation with purpose, and we’re here for it.
ThinQ by EQT: A publication where private markets meet open minds. Join the conversation – [email protected]
More from Library of Hope
Do You Want to Know More?
Get in touch with us and take the first step to successive growth.
Get the Latest Updates
Subscribe to EQT Foundation's press releases and updates.




